You have no items in your shopping cart.
TOP2A Recombinant Rabbit Monoclonal Antibody
Description
Research Area
Images & Validation
−| Tested Applications | IF, IHC-Fr, IHC-P, WB |
|---|---|
| Dilution Range | WB=1:500-2000, IHC-P=1:100-500, IHC-F=1:100-500, IF=1:100-500 |
| Reactivity | Human, Mouse, Rat |
| Predicted Reactivity | Mouse, Rat |
Key Properties
−| Antibody Type | Primary Antibody |
|---|---|
| Host | Rabbit |
| Clonality | Recombinant |
| Isotype | IgG |
| Clone No. | 11D3 |
| Immunogen | A synthesized peptide derived from human Topoisomerase 2 alpha (1500-1531/1531aa) |
| Target | TOP2A |
| Molecular Weight | 174 kDa |
| Purification | Affinity purified by Protein A |
| Conjugation | Unconjugated |
Storage & Handling
−| Storage | Maintain refrigerated at 2-8°C for up to 2 weeks. For long term storage store at -20°C in small aliquots to prevent freeze-thaw cycles. |
|---|---|
| Form/Appearance | Liquid |
| Buffer/Preservatives | 0.01M TBS(pH7.4) with 1% rAlbumin, 0.02% Proclin300 and 50% Glycerol. |
| Concentration | 1mg/ml |
| Expiration Date | 12 months from date of receipt. |
| Disclaimer | For research use only |
Alternative Names
−Similar Products
−Recombinant Topoisomerase II alpha Antibody / TOP2A [orb1151532]
IHC-P, WB
Human
Rabbit
Recombinant
Unconjugated
100 μg, 20 μg

Quality Guarantee
Explore bioreagents carefree to elevate your research. All our products are rigorously tested for performance. If a product does not perform as described on its datasheet, our scientific support team will provide expert troubleshooting, a prompt replacement, or a refund. For full details, please see our Terms & Conditions and Buying Guide. Contact us at support@biorbyt.com.

25 ug total protein per lane of various lysates probed with TOP2A monoclonal antibody, unconjugated (orb2563016) at 1:1000 dilution and 4°C overnight incubation. Followed by conjugated secondary antibody incubation at r.t. for 60 min.

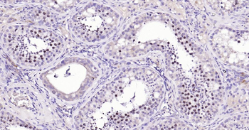
Paraformaldehyde-fixed, paraffin embedded Human Testicles, Antigen retrieval by boiling in sodium citrate buffer (pH6.0) for 15 min, Antibody incubation with TOP2A Monoclonal Antibody, Unconjugated (orb2563016) at 1:400 overnight at 4°C, followed by conjugation to the SP Kit (Rabbit) and DAB staining.

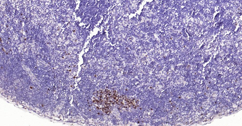
Paraformaldehyde-fixed, paraffin embedded Mouse Lymph, Antigen retrieval by boiling in sodium citrate buffer (pH6.0) for 15 min, Antibody incubation with TOP2A Monoclonal Antibody, Unconjugated (orb2563016) at 1:400 overnight at 4°C, followed by conjugation to the SP Kit (Rabbit) and DAB staining.

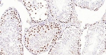
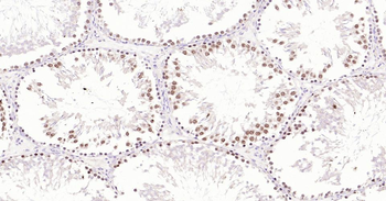
Paraformaldehyde-fixed, paraffin embedded Mouse Testicles, Antigen retrieval by boiling in sodium citrate buffer (pH6.0) for 15 min, Antibody incubation with TOP2A Monoclonal Antibody, Unconjugated (orb2563016) at 1:200 overnight at 4°C, followed by conjugation to the SP Kit (Rabbit) and DAB staining.

Paraformaldehyde-fixed, paraffin embedded Rat Lymph, Antigen retrieval by boiling in sodium citrate buffer (pH6.0) for 15 min, Antibody incubation with TOP2A Monoclonal Antibody, Unconjugated (orb2563016) at 1:400 overnight at 4°C, followed by conjugation to the SP Kit (Rabbit) and DAB staining.

Paraformaldehyde-fixed, paraffin embedded Rat Testicles, Antigen retrieval by boiling in sodium citrate buffer (pH6.0) for 15 min, Antibody incubation with TOP2A Monoclonal Antibody, Unconjugated (orb2563016) at 1:200 overnight at 4°C, followed by conjugation to the SP Kit (Rabbit) and DAB staining.
Quick Database Links
UniProt Details
−Documents Download
Request a Document
Protocol Information
TOP2A Recombinant Rabbit Monoclonal Antibody (orb2563016)
Participating in our Biorbyt product reviews program enables you to support fellow scientists by sharing your firsthand experience with our products.
Login to Submit a Review



