You have no items in your shopping cart.
UBR5 Antibody
Description
Images & Validation
−| Tested Applications | ELISA, IHC, WB |
|---|---|
| Dilution range | WB: 1: 500-1: 3000, IHC-P: 1: 50-1: 100 |
| Reactivity | Human, Mouse |
Key Properties
−| Host | Rabbit |
|---|---|
| Clonality | Polyclonal |
| Isotype | IgG |
| Immunogen | Synthesized peptide derived from Internal of Human EDD. |
| Target | UBR5 |
| Purification | The antibody was affinity-purified from rabbit antiserum by affinity-chromatography using epitope-specific immunogen. |
| Conjugation | Unconjugated |
Storage & Handling
−| Storage | Maintain refrigerated at 2-8°C for up to 2 weeks. For long term storage store at -20°C in small aliquots to prevent freeze-thaw cycles. |
|---|---|
| Form/Appearance | liquid |
| Buffer/Preservatives | Rabbit IgG in phosphate buffered saline (without Mg2+ and Ca2+), pH 7.4, 150mM NaCl, 0.02% sodium azide and 50% glycerol. |
| Disclaimer | For research use only |
Alternative Names
−Similar Products
−UBR5 rabbit pAb Antibody [orb766545]
ELISA, IF, IHC, WB
Human, Mouse
Polyclonal
Unconjugated
50 μl, 100 μlEDD1/HYD Antibody [orb18490]
ELISA, IHC
Bovine, Mouse, Porcine, Rat
Human
Goat
Polyclonal
Unconjugated
100 μgUBR5 Antibody [KO/KD Validated] [orb215173]
IHC, WB
Bovine, Canine, Human, Mouse, Porcine, Zebrafish
Rabbit
Polyclonal
Unconjugated
50 μl, 30 μl, 100 μl, 200 μl

Quality Guarantee
Explore bioreagents carefree to elevate your research. All our products are rigorously tested for performance. If a product does not perform as described on its datasheet, our scientific support team will provide expert troubleshooting, a prompt replacement, or a refund. For full details, please see our Terms & Conditions and Buying Guide. Contact us at support@biorbyt.com.

Western blot analysis of HeLa cells (Lane 2) using UBR5 antibody

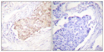
Immunohistochemical staining of human breast carcinoma tissue using UBR5 antibody

Western blot analysis of A549 cells using UBR5 antibody
Quick Database Links
UniProt Details
−Documents Download
Request a Document
Protocol Information
UBR5 Antibody (orb685468)
Participating in our Biorbyt product reviews program enables you to support fellow scientists by sharing your firsthand experience with our products.
Login to Submit a Review













![UBR5 Antibody [KO/KD Validated]](/images/pub/media/catalog/product/NewWebsite/16/orb215173_1.jpg)
![UBR5 Antibody [KO/KD Validated]](/images/pub/media/catalog/product/NewWebsite/16/orb215173_2.jpg)