You have no items in your shopping cart.
ZC3H12A Antibody
Description
Research Area
Images & Validation
−| Tested Applications | ELISA, IHC, IP, WB |
|---|---|
| Dilution Range | WB: 1:200-1:1000; IHC: 1:20-1:200; IP: 1:200-1:1000 |
| Reactivity | Human, Mouse |
Key Properties
−| Antibody Type | Primary Antibody |
|---|---|
| Host | Rabbit |
| Clonality | Polyclonal |
| Isotype | IgG |
| Immunogen | zinc finger CCCH-type containing 12A |
| Target | ZC3H12A |
| Molecular Weight | 66 kDa |
| Purity | ≥95% as determined by SDS-PAGE |
| Purification | Immunogen affinity purified |
| Conjugation | Unconjugated |
Storage & Handling
−| Storage | Maintain refrigerated at 2-8°C for up to 2 weeks. For long term storage store at -20°C in small aliquots to prevent freeze-thaw cycles. |
|---|---|
| Form/Appearance | liquid |
| Disclaimer | For research use only |
Alternative Names
−Similar Products
−ZC3H12A Antibody [orb1672348]
ELISA, IF, IHC, WB
Gallus, Monkey, Porcine, Primate
Human, Mouse, Rat
Rabbit
Polyclonal
Unconjugated
0.1 mg, 0.02 mgMCPIP1/ZC3H12A Rabbit Polyclonal Antibody [orb669149]
ELISA, FC, ICC, IF, IHC, WB
Human, Mouse, Rat
Rabbit
Polyclonal
Unconjugated
100 μgMCPIP1 Rabbit Polyclonal Antibody (FITC) [orb102987]
FC
Bovine, Canine, Equine, Gallus, Rabbit, Rat
Human, Mouse
Rabbit
Polyclonal
FITC
100 μl

Quality Guarantee
Explore bioreagents carefree to elevate your research. All our products are rigorously tested for performance. If a product does not perform as described on its datasheet, our scientific support team will provide expert troubleshooting, a prompt replacement, or a refund. For full details, please see our Terms & Conditions and Buying Guide. Contact us at support@biorbyt.com.

Raji cells were subjected to SDS PAGE followed by western blot with orb632693 (ZC3H12A Antibody) at dilution of 1:300.

IP Result of anti-ZC3H12A (IP: orb632693, 4 ug; Detection: orb632693 1:300) with Raji cells lysate 2000 ug.

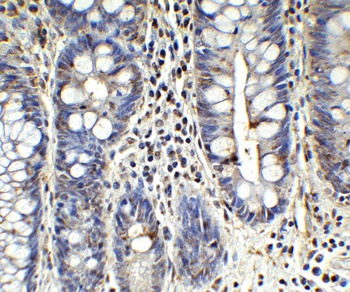
Immunohistochemistry of paraffin-embedded human small intestine tissue slide using orb632693 (ZC3H12A Antibody) at dilution of 1:50.
Quick Database Links
UniProt Details
−Documents Download
Request a Document
Protocol Information
ZC3H12A Antibody (orb632693)
Participating in our Biorbyt product reviews program enables you to support fellow scientists by sharing your firsthand experience with our products.
Login to Submit a Review











![ZC3H12A antibody [N3C3]](/images/pub/media/catalog/product/z/c/zc3h12a-antibody_orb556718_ifa_1.jpg)
![ZC3H12A antibody [N3C3]](/images/pub/media/catalog/product/z/c/zc3h12a-antibody_orb556718_ihc-p_1.jpg)
![ZC3H12A antibody [N3C3]](/images/pub/media/catalog/product/z/c/zc3h12a-antibody_orb556718_wb_1.jpg)
![ZC3H12A antibody [N3C3]](/images/pub/media/catalog/product/c/y/cyfip2-antibody_orb556719_wb_1.jpg)





