You have no items in your shopping cart.
ZHX2 Rabbit Polyclonal Antibody
Description
Research Area
Images & Validation
−| Tested Applications | WB |
|---|---|
| Reactivity | Human |
| Predicted Reactivity | Bovine, Canine, Equine, Guinea pig, Porcine, Rabbit, Rat |
Key Properties
−| Host | Rabbit |
|---|---|
| Clonality | Polyclonal |
| Immunogen | The immunogen is a synthetic peptide directed towards the N terminal region of human ZHX2 |
| Target | ZHX2 |
| Protein Sequence | Synthetic peptide located within the following region: MASKRKSTTPCMVRTSQVVEQDVPEEVDRAKEKGIGTPQPDVAKDSWAAE |
| Molecular Weight | 92kDa |
| Purification | Protein A purified |
| Conjugation | Unconjugated |
Storage & Handling
−| Storage | Maintain refrigerated at 2-8°C for up to 2 weeks. For long term storage store at -20°C in small aliquots to prevent freeze-thaw cycles. |
|---|---|
| Buffer/Preservatives | Liquid. Purified antibody supplied in 1x PBS buffer with 0.09% (w/v) sodium azide and 2% sucrose. |
| Concentration | 1.0 mg/ml |
| Expiration Date | 12 months from date of receipt. |
| Disclaimer | For research use only |
Alternative Names
−Similar Products
−ZHX2 Rabbit Polyclonal Antibody [orb100207]
ICC, IF, IHC-Fr, IHC-P
Bovine, Canine, Equine, Gallus, Mouse, Porcine
Human, Rat
Rabbit
Polyclonal
Unconjugated
200 μl, 50 μl, 100 μlZHX2 Rabbit Polyclonal Antibody [orb556796]
ChIP, ICC, IHC-Fr, IP, WB
Human, Mouse
Rabbit
Polyclonal
Unconjugated
100 μlZHX2 Rabbit Polyclonal Antibody [orb224079]
IHC, WB
Human, Monkey, Mouse, Rat
Rabbit
Polyclonal
Unconjugated
30 μl, 100 μl, 200 μl, 50 μlZHX2 Rabbit Polyclonal Antibody [orb632727]
ELISA, IP, WB
Human, Mouse, Rat
Rabbit
Polyclonal
Unconjugated
50 μg, 100 μg

Quality Guarantee
Explore bioreagents carefree to elevate your research. All our products are rigorously tested for performance. If a product does not perform as described on its datasheet, our scientific support team will provide expert troubleshooting, a prompt replacement, or a refund. For full details, please see our Terms & Conditions and Buying Guide. Contact us at support@biorbyt.com.

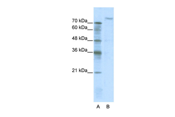
WB Suggested Anti-ZHX2 Antibody Titration: 5.0 ug/mL, ELISA Titer: 1:312500, Positive Control: Jurkat cell lysate.
Documents Download
Request a Document
ZHX2 Rabbit Polyclonal Antibody (orb330042)
Participating in our Biorbyt product reviews program enables you to support fellow scientists by sharing your firsthand experience with our products.
Login to Submit a Review













