You have no items in your shopping cart.
ZNF148 Antibody
Description
Research Area
Images & Validation
−| Tested Applications | IF, IHC, WB |
|---|---|
| Reactivity | Human, Mouse, Rat |
| Application Notes |
Key Properties
−| Antibody Type | Primary Antibody |
|---|---|
| Host | Rabbit |
| Clonality | Polyclonal |
| Isotype | IgG |
| Immunogen | Recombinant fusion protein containing a sequence corresponding to amino acids 690-794 of human ZNF148 (NP_068799.2). |
| Target | ZNF148 |
| Molecular Weight | Observed: 105kDa |
| Purification | Affinity purification |
| Conjugation | Unconjugated |
Storage & Handling
−| Storage | Maintain refrigerated at 2-8°C for up to 2 weeks. For long term storage store at -20°C in small aliquots to prevent freeze-thaw cycles. |
|---|---|
| Form/Appearance | Liquid |
| Buffer/Preservatives | PBS with 0.02% sodium azide, 50% glycerol, pH 7.3. |
| Concentration | batch dependent |
| Disclaimer | For research use only |
Alternative Names
−Similar Products
−ZBP-89 rabbit pAb Antibody [orb766599]
ELISA, IF, IHC, WB
Human, Mouse, Rat
Polyclonal
Unconjugated
100 μl, 50 μlZNF148 Antibody [orb304670]
IF, IHC, WB
Bovine, Human
Rabbit
Polyclonal
Unconjugated
30 μl, 100 μl, 200 μl, 50 μl

Quality Guarantee
Explore bioreagents carefree to elevate your research. All our products are rigorously tested for performance. If a product does not perform as described on its datasheet, our scientific support team will provide expert troubleshooting, a prompt replacement, or a refund. For full details, please see our Terms & Conditions and Buying Guide. Contact us at support@biorbyt.com.

Western blot analysis of extracts of various cell lines, using ZNF148 Antibody (orb1256668) at 1:1000 dilution. Secondary antibody: HRP Goat Anti-Rabbit IgG (H+L) at 1:10000 dilution. Lysates/proteins: 25 ug per lane. Blocking buffer: 3% nonfat dry milk in TBST. Detection: ECL Basic Kit. Exposure time: 60s.

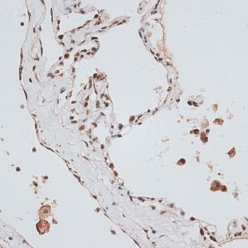
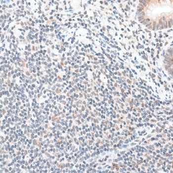
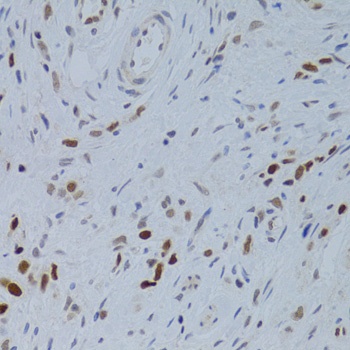
Immunohistochemistry of paraffin-embedded rat lung using ZNF148 antibody (orb1256668) at dilution of 1:100 (40x lens).

Immunohistochemistry of paraffin-embedded rat liver using ZNF148 antibody (orb1256668) at dilution of 1:100 (40x lens).

Immunohistochemistry of paraffin-embedded rat brain using ZNF148 antibody (orb1256668) at dilution of 1:100 (40x lens).

Immunohistochemistry of paraffin-embedded rat heart using ZNF148 antibody (orb1256668) at dilution of 1:100 (40x lens).

Immunohistochemistry of paraffin-embedded human lung using ZNF148 antibody (orb1256668) at dilution of 1:100 (40x lens).

Immunohistochemistry of paraffin-embedded human colon using ZNF148 antibody (orb1256668) at dilution of 1:100 (40x lens).

Immunohistochemistry of paraffin-embedded human appendix using ZNF148 antibody (orb1256668) at dilution of 1:100 (40x lens).

Immunohistochemistry of paraffin-embedded human smooth muscle using ZNF148 antibody (orb1256668) at dilution of 1:100 (40x lens).

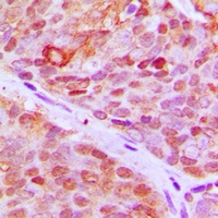
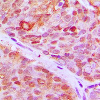
Immunohistochemistry of paraffin-embedded human gastric cancer using NASP Antibody (orb1256714) at dilution of 1:100 (40x lens).

Immunohistochemistry of paraffin-embedded mouse liver using ZNF148 antibody (orb1256668) at dilution of 1:100 (40x lens).

Immunohistochemistry of paraffin-embedded mouse brain using ZNF148 antibody (orb1256668) at dilution of 1:100 (40x lens).

Immunohistochemistry of paraffin-embedded mouse kidney using ZNF148 antibody (orb1256668) at dilution of 1:100 (40x lens).

Immunohistochemistry of paraffin-embedded mouse heart using ZNF148 antibody (orb1256668) at dilution of 1:100 (40x lens).

Immunofluorescence analysis of A-549 cells using ZNF148 antibody (orb1256668).
Quick Database Links
UniProt Details
−Documents Download
Request a Document
Protocol Information
ZNF148 Antibody (orb1256668)
Participating in our Biorbyt product reviews program enables you to support fellow scientists by sharing your firsthand experience with our products.
Login to Submit a Review










