You have no items in your shopping cart.
ZO-1/TJP1 Antibody
Description
Research Area
Images & Validation
−| Tested Applications | IF, IHC, WB |
|---|---|
| Dilution range | Western Blot 1:500-1:1000 Immunofluorescence 1:200–1:500 Immunohistochemistry (Paraffin) 1:100-1:200 |
| Reactivity | Human, Mouse, Rat |
Key Properties
−| Host | Rabbit |
|---|---|
| Clonality | Polyclonal |
| Isotype | Rabbit-IgG |
| Immunogen | Synthetic peptide / Intracellular domain corresponding to Human ZO-1 |
| Target | ZO-1 / TJP1 |
| Conjugation | Unconjugated |
Storage & Handling
−| Storage | Maintain refrigerated at 2-8°C for up to 2 weeks. For long term storage store at -20°C in small aliquots to prevent freeze-thaw cycles. |
|---|---|
| Disclaimer | For research use only |
Similar Products
−ZO-1/TJP1 Rabbit Polyclonal Antibody [orb499587]
FC, ICC, WB
Bovine, Canine, Gallus, Goat, Guinea pig, Mouse, Porcine, Rat, Sheep
Human
Rabbit
Polyclonal
Unconjugated
200 μl, 50 μl, 100 μlTJP1 Antibody (monoclonal, 3E12) [orb610914]
FC, ICC, IF, IHC, WB
Human
Mouse
Monoclonal
Unconjugated
100 μgTJP1 Antibody [orb632832]
ELISA, FC, IF, IHC, IP, WB
Human, Mouse, Rat
Rabbit
Polyclonal
Unconjugated
100 μg, 50 μgZO-1 Rabbit Polyclonal Antibody [orb1596406]
FC, ICC, WB
Mouse, Rat
Human
Rabbit
Polyclonal
Unconjugated
100 μl, 50 μlZO-1/TJP1 Rabbit Polyclonal Antibody (BF647) [orb1584033]
FC, ICC
Bovine, Canine, Gallus, Goat, Guinea pig, Mouse, Porcine, Rat, Sheep
Human
Rabbit
Polyclonal
BF647

Quality Guarantee
Explore bioreagents carefree to elevate your research. All our products are rigorously tested for performance. If a product does not perform as described on its datasheet, our scientific support team will provide expert troubleshooting, a prompt replacement, or a refund. For full details, please see our Terms & Conditions and Buying Guide. Contact us at support@biorbyt.com.

All lanes: Anti-ZO-1 antibody - at 1/500 dilution, Lysates/proteins at 50 µg per lane. This blot was produced using a 5% SDS-PAGE. Nitrocellulose membrane was then blocked with 3% BSA for an hour before being incubated with orb1294380 overnight at 4°C.

All lanes: Anti-ZO-1 antibody - at 1/500 dilution, Lysates/proteins at 50 µg per lane. This blot was produced using a 5% SDS-PAGE. Nitrocellulose membrane was then blocked with 3% BSA for an hour before being incubated with orb1294380 overnight at 4°C.

Immunofluorescence: cells were fixed with 4% paraformaldehyde for 10 min at RT, permeabilized with 0.1% NP-40 for 10 min at RT then blocked with 5% BSA for 30 min at room temperature. Cells were stained with orb1294380 anti-ZO-1 antibody (Green) at 1:150 and 4°C. DAPI (blue) was used as the nuclear counter stain.

Immunofluorescence: cells were fixed with 4% paraformaldehyde for 10 min at RT, permeabilized with 0.1% NP-40 for 10 min at RT then blocked with 5% BSA for 30 min at room temperature. Cells were stained with orb1294380 anti-ZO-1 antibody (red) at 1:150 and 4°C. DAPI (blue) was used as the nuclear counter stain.

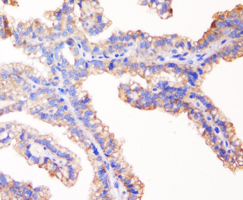
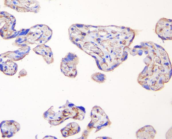
Immunohistochemical analysis of paraffin embedded Human cancer tissue labeling ZO-1 with orb1294380 at 1/100.
Quick Database Links
Documents Download
Request a Document
Protocol Information
ZO-1/TJP1 Antibody (orb1294380)
Participating in our Biorbyt product reviews program enables you to support fellow scientists by sharing your firsthand experience with our products.
Login to Submit a Review















