You have no items in your shopping cart.
ADDA
SKU: orb1698744
Featured
Description
Research Area
Metabolism Research
Images & Validation
−
Key Properties
−| CAS Number | 126456-06-2 |
|---|---|
| MW | 331.456 |
| Formula | C20H29NO3 |
| SMILES | CO[C@@H](Cc1ccccc1)[C@@H](C)\C=C(/C)\C=C\[C@H](N)[C@H](C)C(O)=O |
| Target | Others,Endogenous Metabolite |
Storage & Handling
−| Storage | -20°C |
|---|---|
| Expiration Date | 12 months from date of receipt. |
| Disclaimer | For research use only |
Similar Products
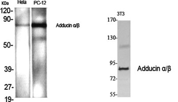
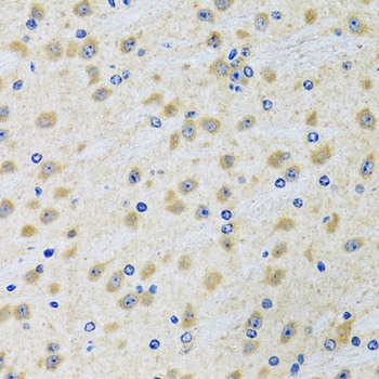
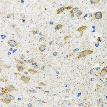
−Adducin α/β (phospho Ser726/713) rabbit pAb Antibody [orb764379]
ELISA, IF, IHC, WB
Human, Mouse, Rat
Polyclonal
Unconjugated
100 μl, 50 μlAdducin α/β rabbit pAb Antibody [orb764479]
ELISA, IF, IHC, IP, WB
Human, Mouse, Rat
Polyclonal
Unconjugated
100 μl, 50 μlRabbit Alpha-Adducin Antibody [orb1524323]
IHC, IP, WB
Human
Rabbit
Polyclonal
Unconjugated
100 μl, 10 μl

Quality Guarantee
Explore bioreagents carefree to elevate your research. All our products are rigorously tested for performance. If a product does not perform as described on its datasheet, our scientific support team will provide expert troubleshooting, a prompt replacement, or a refund. For full details, please see our Terms & Conditions and Buying Guide. Contact us at support@biorbyt.com.
Compound Identifiers
PubChem CID
Key Properties
− No computed properties available.
Documents Download
Datasheet
Product Information
Request a Document
Protocol Information
ADDA (orb1698744)
Based on 0 reviews
Participating in our Biorbyt product reviews program enables you to support fellow scientists by sharing your firsthand experience with our products.
Login to Submit a Review





















