You have no items in your shopping cart.
KI-67 Rabbit Polyclonal Antibody
Description
Research Area
Images & Validation
−| Tested Applications | IF, IHC, WB |
|---|---|
| Dilution Range | Western Blot 1:500, Immunofluorescence 1:200 – 1:500, Immunohistochemistry (Paraffin) 1:50 – 1:100 |
| Reactivity | Human, Mouse, Rat |
| Application Notes |
Key Properties
−| Antibody Type | Primary Antibody |
|---|---|
| Host | Rabbit |
| Clonality | Polyclonal |
| Isotype | Rabbit-IgG |
| Immunogen | Synthetic peptide /Ki-67 |
| Target | KI-67 |
| Conjugation | Unconjugated |
Storage & Handling
−| Storage | Maintain refrigerated at 2-8°C for up to 2 weeks. For long term storage store at -20°C in small aliquots to prevent freeze-thaw cycles. |
|---|---|
| Buffer/Preservatives | 100mM Tris Glycine, 20% Glycerol (pH7). 0.025% ProClin 300 was added as a preservative. |
| Expiration Date | 12 months from date of receipt. |
| Disclaimer | For research use only |
Similar Products
−Ki-67 Rabbit Polyclonal Antibody [orb13523]
FC, ICC, IF, IHC-Fr, IHC-P, WB
Human, Mouse, Rat
Rabbit
Polyclonal
Unconjugated
50 μl, 100 μlBID Rabbit Polyclonal Antibody [orb182359]
FC, ICC, IF, IHC, WB
Human, Mouse, Rat
Rabbit
Polyclonal
Unconjugated
100 μgKi67/MKI67 Rabbit Polyclonal Antibody [orb1152331]
ELISA, IHC
Human
Rabbit
Polyclonal
Unconjugated
100 μgKi67/Mki67 Rabbit Polyclonal Antibody [orb763060]
ELISA, IHC
Human, Mouse, Rat
Rabbit
Polyclonal
Unconjugated
100 μg

Quality Guarantee
Explore bioreagents carefree to elevate your research. All our products are rigorously tested for performance. If a product does not perform as described on its datasheet, our scientific support team will provide expert troubleshooting, a prompt replacement, or a refund. For full details, please see our Terms & Conditions and Buying Guide. Contact us at support@biorbyt.com.

Cells were fixed with 4% PFA for 10 min at RT, permeabilized with 0.1% NP-40 for 10 min at RT then blocked with 5% BSA for 30 min at RT. Cells were stained with orb1735092 anti-Ki-67 antibody at 1:400 and 4°C. DAPI (blue) was used as the nuclear counter stain.

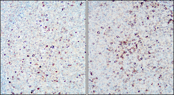
Immunohistochemical analysis of paraffin embedded Human cancer tissue labeling Ki-67 antibody with orb1735092 at 1/100.

This blot was produced using a 5% SDS-PAGE. Nitrocellulose membrane was then blocked for an hour before being incubated with orb1735092 overnight at 4°C. Lysates at 35 µg per lane. Anti Ki-67 antibody - at 1/500 dilution.
Quick Database Links
Documents Download
Request a Document
Protocol Information
KI-67 Rabbit Polyclonal Antibody (orb1735092)
Participating in our Biorbyt product reviews program enables you to support fellow scientists by sharing your firsthand experience with our products.
Login to Submit a Review



























